Nerf glossopharyngien extracrânien trajet, rapports et distribution

Dent De Sagesse Nerf. La nécrose dentaire causes et traitements adéquats Bobex C'est pourquoi, pour éviter que cela soit le cas, il est impératif d'établir une bonne communication avec son dentiste pour prévenir les risques Les dents de sagesse, également appelées troisièmes molaires, sont les dernières dents à pousser dans la bouche, généralement entre 17 et 25 ans

Gestion de la douleur lors des soins d’urgence buccodentaires L
Gestion de la douleur lors des soins d’urgence buccodentaires L'Information Dentaire from www.information-dentaire.fr

Si vous constatez que suite à une intervention, vous souffrez de pathologies que nous vous avons indiquées. Ce nerf, situé près de la mâchoire inférieure, est crucial pour la sensation de la langue, des lèvres et du menton, ainsi que pour la mobilité de la mâchoire.

Gestion de la douleur lors des soins d’urgence buccodentaires L'Information Dentaire

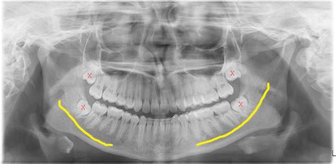
Comme on peut le voir sur le croquis, le nerf dentaire inférieur, qu'on appelle maintenant nerf mandibulaire ou aussi nerf alvéolaire inférieur, passe très près des racines des molaires et il peut être endommagé lors de l'extraction d'une molaire, et à plus forte raison lors de celle d'une dent de sagesse incluse surtout ci celle-ci fait un crochet qui passe en dessous du canal. Comme on peut le voir sur le croquis, le nerf dentaire inférieur, qu'on appelle maintenant nerf mandibulaire ou aussi nerf alvéolaire inférieur, passe très près des racines des molaires et il peut être endommagé lors de l'extraction d'une molaire, et à plus forte raison lors de celle d'une dent de sagesse incluse surtout ci celle-ci fait un crochet qui passe en dessous du canal. Il est primordial de porter une attention particulière à toute douleur persistante ou aiguë se manifestant au niveau de vos dents de sagesse

Clinique Spécialisée de Québec Dents de sagesses. Les dents de sagesse, dernières molaires à apparaître dans la bouche, peuvent causer des problèmes, notamment en touchant le nerf mandibulaire Le nerf mandibulaire se divise en plusieurs branches, dont le nerf alvéolaire inférieur.

Clinique Spécialisée de Québec Dents de sagesses. La douleur dentaire liée à une dent de sagesse qui touche le nerf peut avoir plusieurs origines. C'est pourquoi, pour éviter que cela soit le cas, il est impératif d'établir une bonne communication avec son dentiste pour prévenir les risques